内科・循環器科・循環器内科かきたクリニック
 
        
        
    豊中市庄内にある内科・循環器科・循環器内科/かきたクリニック 動悸、息切れが気になる方。糖尿病、高血圧、不整脈、高脂血症の治療。
 
    
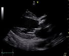
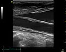
心臓超音波検査(心エコー)とは、人の耳には聞こえないほどの高周波数の超音波を心臓に発信して、返ってくる反射波を受信し、心臓の様子を画面に映し出して診断する検査です。
リアルタイムでの心臓の大きさ、筋肉の壁の厚さや動きを観察します。また、心臓内の血液の流れを計測することで心機能の評価が可能です。
患者さんに苦痛をあたえずに、心臓の各部位の形や大きさの異常、動きの異常を簡単に診断できます。種々の心臓病の診断、重症度の評価、治療効果の判定など幅広い目的で検査されます。
心臓に穴が開いていないか、心臓の中にある弁(扉)から血液が逆流していないかなど検査します。
超音波は、X線撮影やRI検査のように放射線による被曝の心配がありません。また、患者さんへの苦痛もなく安全に繰り返して検査を受けることができます。